Casos clínicos
Resultados reales, trabajados con dedicación. Cada caso cuenta una historia diferente, con tratamientos pensados para lograr sonrisas sanas, funcionales y naturales




Rehabilitación sobre implantes
Este paciente acudió a nosotros con dificultades para masticar y una sonrisa que no le hacía sentir cómodo.
Tras estudiar su caso, realizamos una rehabilitación completa All-on-6 con implantes Straumann SLActive y obteniendo este resultado 24 horas después de la colocación de los implantes.
Hoy puede sonreír y comer con total tranquilidad.


Ortodoncia invisible con ClearCorrect
Esta paciente buscaba alinear su sonrisa sin alterar su estética durante el tratamiento.
Tras valorar su caso, realizamos una ortodoncia invisible con ClearCorrrect, permitiéndole corregir la posición de sus dientes de forma cómoda y discreta.
Su tratamiento duro 18 meses en total, al final del tratamiento realizamos retenciones en la arcada superior e inferior y hoy muestra una sonrisa más armónica y natural.


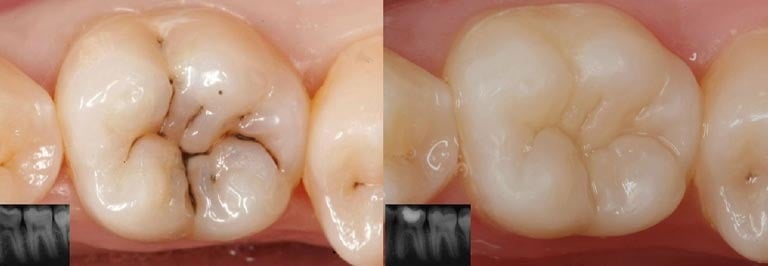
Empastes estéticos
Este paciente acudió con varias caries y desgastes que afectaban al aspecto y uniformidad de su sonrisa.
Realizamos empastes estéticos con materiales del color del diente, devolviendo la forma, el brillo y la naturalidad sin alterar su expresión.
BOCARRIBA EL MÉDANO
Cuidamos personas, no solo sonrisas
ENLACES
© 2025 Odontis Dorta SLP. All rights reserved.
BOCARRIBA COSTA DEL SILENCIO


